Surgery resident awarded prestigious T32 federal research grant
Dried goji berries may provide protection against age-related macular degeneration
Demodex Blepharitis, Beware. We See You!
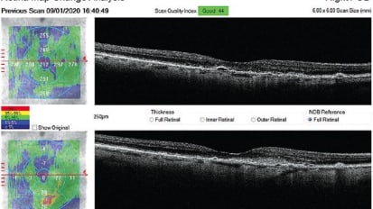
Use Your OCT’s Hood Report to Your Advantage
Dynamic Visual Acuity and Sports Performance
Tricks & Treats of Ocular Redness
How to Care for the Dry AMD Patient
Change is Good
Custom Soft vs. Hybrid vs. Rigid Lenses
Patient Adherence to Glaucoma Treatment
The Big Hiring, Training, and Retention Guide
Cancer
Cardiology
Gastroenterology
Neurology
OBGYN
Orthopedics
Pediatrics
BroadcastMed News
Dermatology
Diabetes & Endocrinology
Infectious Diseases
Ophthalmology
Optometry
Otolaryngology
Pulmonology
Surgery
Urology
About
Solutions
Resources
Contact
person Sign In / Create Account