A Cedars-Sinai Study Suggests Physicians Treating Dementia Should Look for Cerebrospinal Fluid Leak—A Treatable Cause of an Otherwise Incurable Condition
A new Cedars-Sinai study suggests that some patients diagnosed with behavioral-variant frontotemporal dementia (bvFTD)—an incurable condition that robs patients of the ability to control their behavior and cope with daily living—may instead have a cerebrospinal fluid leak, which is often treatable.
Researchers say these findings, published in the peer-reviewed journal Alzheimer’s & Dementia: Translational Research and Clinical Interventions, may point the way to a cure.
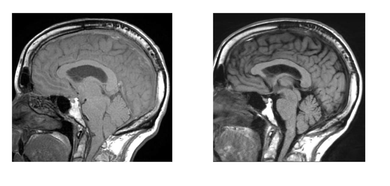
On the Left: An image of brain sagging. On the right: Post-op resolution of brain sagging
“Many of these patients experience cognitive, behavioral and personality changes so severe that they are arrested or placed in nursing homes,” said Wouter Schievink, MD, director of the Cerebrospinal Fluid Leak and Microvascular Neurosurgery Program and professor of Neurosurgery at Cedars-Sinai. “If they have behavioral-variant frontotemporal dementia with an unknown cause, then no treatment is available. But our study shows that patients with cerebrospinal fluid leaks can be cured if we can find the source of the leak.”
Cerebrospinal fluid (CSF) circulates in and around the brain and spinal cord to help cushion them from injury. When this fluid leaks into the body, the brain can sag, causing dementia symptoms. Schievink said many patients with brain sagging—which can be detected through MRI—go undiagnosed, and he advises clinicians to take a second look at patients with telltale symptoms.
“A knowledgeable radiologist, neurosurgeon or neurologist should check the patient’s MRI again to make sure there is no evidence for brain sagging,” Schievink said.
Clinicians can also ask about a history of severe headaches that improve when the patient lies down, significant sleepiness even after adequate nighttime sleep, and whether the patient has ever been diagnosed with a Chiari brain malformation, a condition in which brain tissue extends into the spinal canal. Brain sagging, Schievink said, is often mistaken for a Chiari malformation.
Wouter Schievink, MD
Even when brain sagging is detected, the source of a CSF leak can be difficult to locate. When the fluid leaks through a tear or cyst in the surrounding membrane, it is visible on CT myelogram imaging with the aid of contrast medium.
Schievink and his team recently discovered an additional cause of CSF leak: the CSF-venous fistula. In these cases, the fluid leaks into a vein, making it difficult to see on a routine CT myelogram. To detect these leaks, technicians must use a specialized CT scan and observe the contrast medium in motion as it flows through the cerebrospinal fluid.
In this study, investigators used this imaging technique on 21 patients with brain sagging and symptoms of bvFTD, and they discovered CSF-venous fistulas in nine of those patients. All nine patients had their fistulas surgically closed, and their brain sagging and accompanying symptoms were completely reversed.
“This is a rapidly evolving field of study, and advances in imaging technology have greatly improved our ability to detect sources of CSF leak, especially CSF-venous fistula,” said Keith L. Black, MD, chair of the department of Neurosurgery and the Ruth and Lawrence Harvey Chair in Neuroscience at Cedars-Sinai. “This specialized imaging is not widely available, and this study suggests the need for further research to improve detection and cure rates for patients.”
The remaining 12 study participants, whose leaks could not be identified, were treated with nontargeted therapies designed to relieve brain sagging, such as implantable systems for infusing the patient with CSF. However, only three of these patients experienced relief from their symptoms.
“Great efforts need to be made to improve the detection rate of CSF leak in these patients,” Schievink said. “We have developed nontargeted treatments for patients where no leak can be detected, but as our study shows, these treatments are much less effective than targeted, surgical correction of the leak.”
