Matthew Goldblatt, FACS, MD
Professor; Director, Condon Hernia Institute
Surgical Residency Program Director
Dr Goldblatt currently practices in Milwaukee, Wisconsin where he is Director of The Condon Hernia Institute, Program Director, Department of Surgery and Professor of Surgery at Froedtert Hospital and The Medical College of Wisconsin. He is subject editor of Surgical Endoscopy, and reviews for other journals including The Journal for Surgical Education, Annals of Surgery, and The Journal of The American Medical Association.? He has published over 60 articles in peer-reviewed journals and 9 chapters in medical textbooks.? Much of his published work is related to the subject matter of advanced hernia repair.
Related Videos
Matthew Goldblatt, M.D., FACS of Milwaukee, WI, joins us to help educate Vizient members on the differences in absorbable mesh materials and biologics utilized in hernia repair and soft tissue reconstruction
Trends, Tools, Trials: Complex Abdominal Wall Repair in 2020
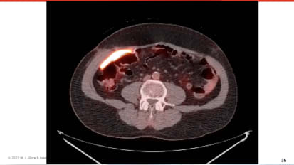
Matthew I. Goldblatt, M.D., FACS, discusses a case study of a patient undergoing treatment for simultaneous colon and rectal cancers and had a prior low anterior colon resection procedure with a diverting ileostomy.
